Dentinogenesis imperfecta
Ebenso wie die Amelogenesis imperfecta ist auch die Dentinogenesis imperfecta eine genetisch bedingte Erkrankung und tritt oft familiär gehäuft auf. Bei dieser Erkrankung ist die Bildung des Dentins gestört. Der Zahnschmelz ist normal ausgebildet.
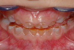
Milchgebiss eines 5-jährigen Kindes mit Dentinogenesis imperfecta. Die Zahnkronen sind bereits stark abgenutzt und typisch bernsteinfarben.
Betroffen sind immer alle Zähne sowohl im Milchgebiss als auch im bleibenden Gebiss. Typischerweise haben die Milchzähne eine bernsteinartige Farbe während die bleibenden Zähne eher gräulich erscheinen. Durch das mindermineralisierte Dentin kommt es bei Kaubelastung schnell zu großflächigen Abplatzungen des Zahnschmelzes. Das weiche Dentin unterliegt dann einer raschen Abrasion (Abnutzung) und die Zahnkrone wirkt schon nach kurzer Zeit stark abgeschliffen.
Um eine frühzeitige Abrasion der Zähne zu verhindern, sollten die bleibenden Zähne nach deren Durchbruch umgehen überkront werden. Zu diesem Zweck verwendet man bei Backenzähnen Stahlkronen und bei Schneidezähnen Compositekronen.



