Kinderkronen - Ritterzähne und Prinzessinnenkronen
Konfektionierte Edelstahlkronen
Manchmal sind Milchzähne so stark zerstört, dass ihr Erhalt mit einfachen Füllungen nicht mehr möglich ist. Dann kommen Kinderkronen zur Anwendung. So können wir auch noch jene Zähne erhalten, die ansonsten entfernt werden müssen.
Backenzähne werden mit konfektionierten Edelstahlkronen überkront. Dies ist eine seit langem bewährte Methode zur Zahnerhaltung. Die Kronen sind extrem haltbar und sehr gut verträglich.
Hier haben wir einmal die Eingliederung einer Kinderkrone dokumentiert:

Schritt 1: Stark kariöser Milchbackenzahn

Schritt 2: Diagnostisches Röntgenbild - immer obligatorisch; die Karies (dunkel) ist tief und sehr ausgedehnt

Schritt 3: Präparierter Zahn - Karies entfernt; verfärbtes, nicht kariös erweichtes Dentin wird stets belassen!
Schritt 4: Auswahl der passenden Krone aus dem Set - funktioniert im Prinzip wie eine Schuhanprobe :-)
Schritt 5: Zementierung vorbereiten

Schritt 6: Fertig zementierte Krone
Kunststoffkronen
Frontzähne versorgen wir aus ästhetischen Gründen mit zahnfarbenen, direkt im Mund hergestellten Kunststoffkronen. Form und Funktion können auf diese Art optimal wiederhergestellt werden.

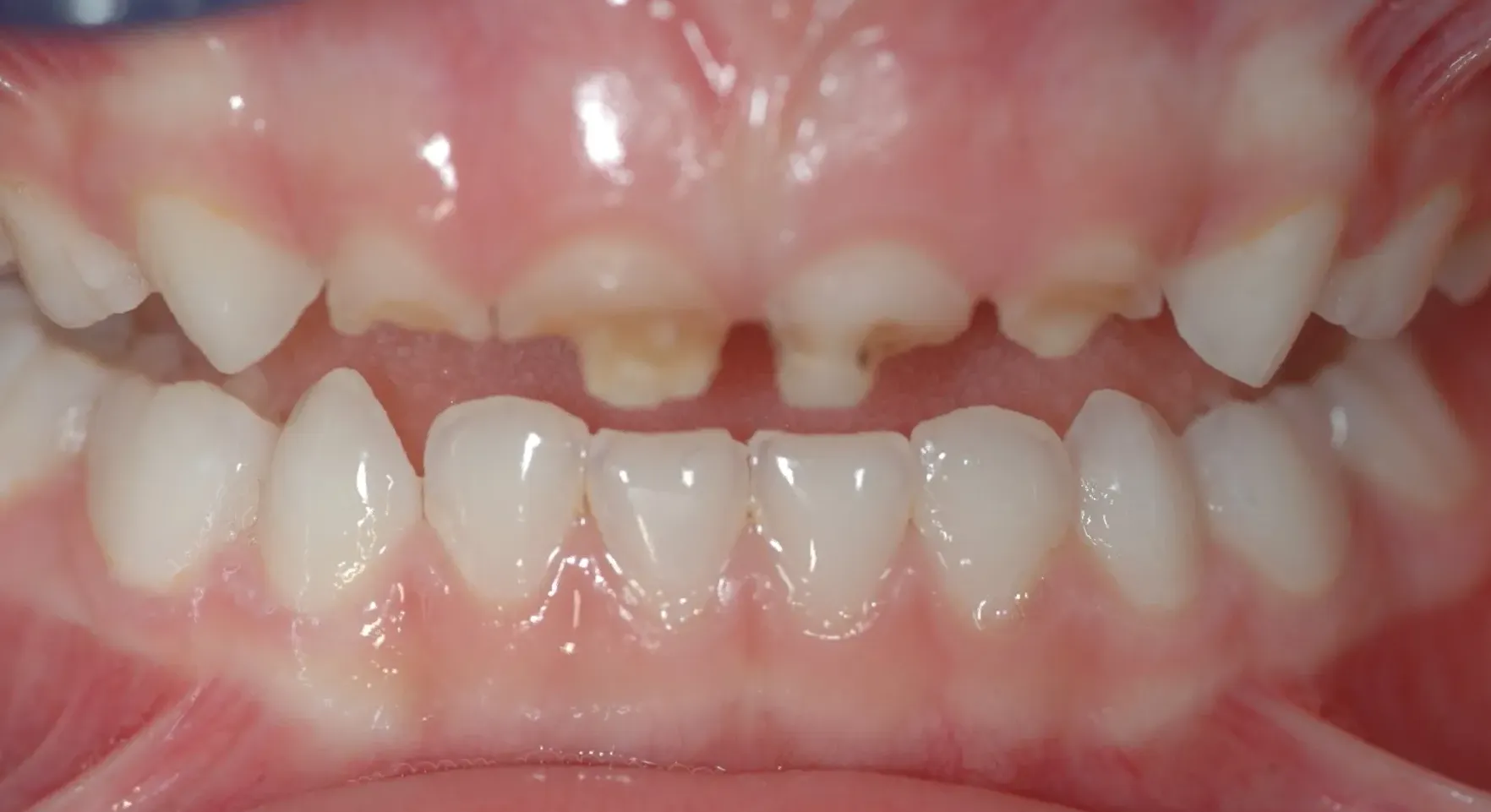
Stark kariös zerstörte Milchfrontzähne
Befund nach der Versorgung mit Kunststoffkronen
Neuer Text
Neuer Text
Neuer Text
