Zahnunfall - Was nun?
Spiel- und Sportunfälle, Unfälle im Straßenverkehr oder im Haushalt sind oft mit Zahnverletzungen verbunden. Ein unglücklicher Sturz oder Schlag kann zu Brüchen in der Zahnkrone, Lockerungen oder Zahnverlust führen.
Gefahrenquellen für Zahnunfälle sind vor allem alle Kontaktsportarten und Schwimmbäder, auf deren wasserglatten Böden Sturzverletzungen besonders häufig und folgenreich sind.
Ausgeschlagene bleibende Zähne oder Zahnbruchstücke müssen schnellstmöglich in eine Zahnrettungsbox (maximale Lagerungsdauer 24-48h) eingelegt werden. Ist diese nicht zur Hand, hilft übergangsweise das Einlegen in H-Milch (maximale Lagerungsdauer 1-2h). Zähne und Zahnfragmente können dann wiederbefestigt werden. Viele Schulen, Kindergärten und Sportstätten sind inzwischen auch mit Zahnrettungsboxen ausgestattet. In jedem Fall muß umgehend ein Zahnarzt aufgesucht werden.

Schwere Zahnverletzung im Milchgebiß.
Bei Verletzungen an Milchzähnen hat der Schutz des nachfolgenden Zahnes Priorität. Sie werden daher anders behandelt als Unfälle an bleibenden Zähnen. Eine sofortige Vorstellung beim Zahnarzt ist auch bei Milchzahnunfällen immer erforderlich.
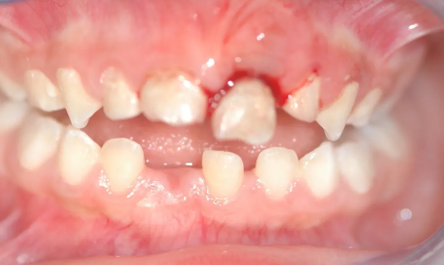
Milchzahnverletzung im Alter von drei Jahren: Der Zahn wurde durch den Sturz fast vollständig in den Knochen gedrückt. Diese Art der Verletzung führt oft zu schweren Schäden des bleibenden Zahnes.
Spätfolge einer Milchzahnverletzung im Alter von einem Jahr: der nachkommende bleibende Zahn weist Form- und Farbveränderung auf.

Ektopischer Durchbruch und persistierender Milchzahn als Folge eines zurückliegenden Traumas. Auf das Trauma läßt schon die dunkle Farbe des Milchzahnes schließen; traumatisierte Milchzähne verfärben sich häufig.
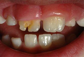
Ein typisches Behandlungsbeispiel aus unserer Praxis: Bei einem Schulunfall erlitten zwei Zähne komplizierte Frakturen. Die Zahnbruchstücke waren noch vorhanden und konnten wiederbefestigt werden. Ästhetik und Funktion wurden optimal wieder hergestellt.

Zustand nach Wiederbefestigen des ersten Zahnfragmentes.

Zustand nach Wiederbefestigen des zweiten Fragmentes.

Ansicht von innen.
Was tun beim Zahnunfall?
- Zahn oder Zahnstück suchen
- Zahn immer nur an der Zahnkrone und nicht an der Wurzel anfassen
- Zahn weder säubern noch groben Schmutz entfernen
- Zahn nicht austrocknen lassen sondern immer feucht halten: in die Zahnrettungsbox oder in H-Milch einlegen
- Kind umgehend beim Zahnarzt vorstellen
- Kontrollieren Sie außerdem, ob ein ausreichender Tetanusschutz besteht!





