Molaren-Inzisiven-Hypomineralisation - Kreidezähne
Die Molaren-Inzisiven-Hypomineralisation - betroffene Zähne werden auch als "Kreidezähne" bezeichnet - ist eine Strukturstörung an den bleibenden Backenzähnen (Molaren - M) und den Schneidezähnen (Inzisiven - I). Selten sind auch die Milchzähne betroffen. Die Ursache ist noch weitestgehend unbekannt. Sicher ist jedoch, dass für die Entstehung eine Schädigung der Zahnschmelz-bildenden Zellen im ersten Lebensjahr und früher verantwortlich ist.
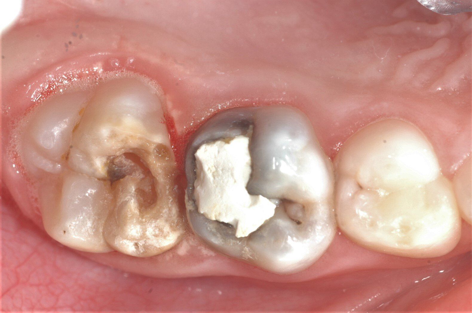
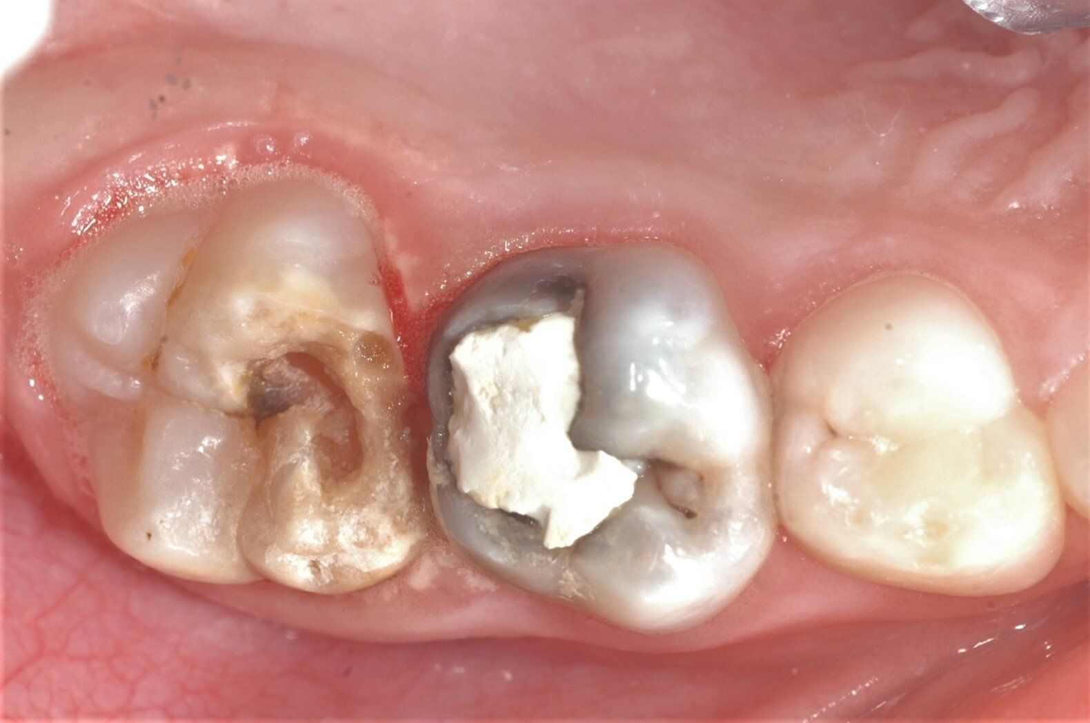
Etwa ein Fünftel aller Kinder in Deutschland sind betroffen. Die Zähne weisen scharf begrenzte, opakweiße, gelbe oder braune Verfärbungen auf. Sie sind weniger widerstandsfähig gegenüber Kaubelastung und kariesanfällig. Oft kommt es bereits kurz nach dem Durchbruch zu Abplatzungen und exzessiver Karies. Zähne mit MIH reagieren sehr empfindlich auf thermische Reize. Manchmal ist schon das tägliche Zähneputzen schmerzhaft und das Essen heißer oder kalter Speisen äußerst unangenehm.
Kinder mit MIH brauchen eine intensive zahnärztliche Betreuung. Regelmäßige Fluoridapplikationen und eine Fissurenversiegelung helfen prophylaktisch.
Bei Substanzdefekten, Karies und starker Empfindlichkeit sind Compositefüllungen und eventuell stützende Edelstahlbänder die beste Versorgung. Hier ein Fall aus unserer Praxis:
Passendes Molarenband vor dem Eingliedern

Fertig eingegliedertes Molarenband
Molarenband am Modell zur Besseren Vorstellung
Wir möchten, dass Sie immer bestens informiert sind.
Deshalb nehmen wir uns Zeit für ein umfassendes Erstgespräch. Umfangreiches Informationsmaterial zum Nachlesen und zur weiteren Recherche erhalten Sie von uns immer dazu.





