Hypodontie
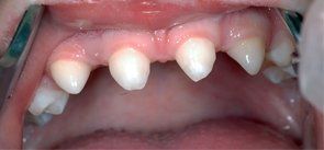
Als Hypodontie bezeichnet man eine Zahnunterzahl. Einzelne oder mehrere Zähne sind dann nicht angelegt.
Nichtanlagen von Weisheitszähnen sind am häufigsten. Es folgen die unteren kleinen Backenzähnen und die oberen seitlichen Schneidezähne. Oft finden sich gleichzeitig Formveränderungen der anderen Zähnen. Sie haben dann mitunter eine zapfen- oder pyramidenförmige Zahnkrone.
Eine Hypodontie ist genetisch veranlagt. Daher sind in einer Familie oft mehrere Mitglieder betroffen. Zahnunterzahlen treten auch im Zusammenhang mit einigen Grunderkrankungen auf wie z.B. der Lippen-Kiefer-Gaumenspalte, dem Down-Syndrom oder der Ektodermalen Dysplasie.


